Előtte-utána
Lessen be a kulisszák mögé!
Ismerjen meg konkrét fogászati eseteket, amelyeket a rendelőben kezeltünk. Előtte-utána képek fogorvosaink székéből.

Fogpótlások

Szuvas fogak kezelése
Két szomszédos pillérfog felhaZsolt ősszel kereste fel rendelőnket, szuvas frontfogait szerette volna rendbe hozatni, hogy újra magabiztosan mosolyoghasson. Páciensünk Dr. Varga Péterrel vágott bele a kezeléssorozatba.

Letört koronák
Miklós nyáron kereste fel a rendelőnket: korábban máshol készült koronái kiestek, csak a csonkok maradtak a helyükön. Esztétikus, mégis költséghatékony megoldást keresett problémájára.

Fogászati fóbia
György májusban kereste fel a rendelőnket: évek óta fogászati fóbiában szenvedett, ami a fogain is meglátszott. Dr. Varga Péter fogorvos megnyugtató személyiségének hála egészséges és esztétikus fogsorral távozott.

Kiegyensúlyozott mosoly
Anna tavaly érkezett az Egressy úti fogorvosi rendelőnkbe: számos problémás foga és foghiánya megnehezítette az életét. Önbizalommal teli új mosolyt szeretett volna, ezért fordult Dr. Varga Péter fogorvosunkhoz.

Esztétikus kivehető fogsor
Magdolna teljes foghiánnyal érkezett rendelőnkbe: új esztétikus kivehető fogsort szeretett volna, amivel kényelmesen ehet és ihat. Fontos volt számára, hogy a protézis elsőre „ne tűnjön fel”, ebben kérte Dr. Varga Péter segítségét.

Új mosoly implantátummal
Számunkra nincs lehetetlen eset – ezt bizonyítja Csaba története is. Betegünk számos szuvas és több hiányzó foggal érkezett rendelőnkbe, de Dr. Varga Péter közreműködésének hála ma már bátran mosolyog.

Régi alsó fémkerámia körhíd cseréje
Készítette Dr. Ruska Nikoletta
Esztétikai kezelések

Fogkő-eltávolítás
Mónika télen járt rendelőnkben, fogfehérítés csomagunkat választotta ajándék fogkő-eltávolítással és homokfújással. Dentalhigiénukusunknak köszönhetően látványos végeredménnyel távozott.

Belső fogfehérítés
Roman ősszel kereste meg rendelőnket, elégedetlen volt felső front fogaival. Dr. Varga Péter látványos változást idézett elő a kérdéses területen.

Rendelői fogfehérítés
Fruzsi a szalagavatója előtt keresett meg minket. A fiatal lány fehérebb és csillogóbb fogakat szeretett volna a nagy eseményre, ezért Zsolnai Éva dental higiénikusunk a fogkő-eltávolítással egybekötött rendelői fogfehérítést javasolta neki.
Mosolyszépítés

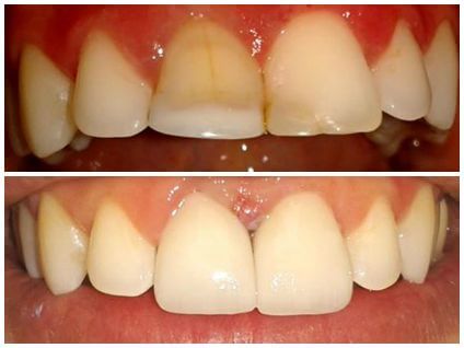
Mosolyszépítés cirkon koronákkal
22 éves hölgy páciensünk elégedetlen volt fogainak állásával és színével. Dr. Vingender Szonja munkájának köszönhetően, cirkon szóló koronákat kapott gyökérkezelt fogaira. A kép közvetlenül a beragasztás után készült. A hálás páciens ezt írta a doktornőnek: „Nagyon-nagyon Köszönöm!! Még nem fogtam fel, de már kezdem. :D”

Direkt héjak fogkopás ellen
Krisztián tavaly decemberben érkezett rendelőnkbe, elégedetlen volt a frontfogain látható kopásokkal. Megújult mosolyát Dr. Varga Péternek köszönheti.

Élpótlás direkt héjjal
Rebeka tavaly télen érkezett a rendelőnkbe: korábban máshol készített élpótlása elszíneződött. Természetes megoldást szeretett volna, ezért fordult Dr. Varga Péterhez és a direkt héj kezeléshez.

Jobb felső kvadráns kezelése
Dr. Ruska Nikoletta munkája
Porcelán héj

Viszlát, régi mosoly!
Attila ősszel járt a rendelőnkben. Komplex problémával fordult a mosolyszépítések szakértőjéhez, Dr. Bévárdi Rékához. Attilát az elszíneződött gyökérkezet foga mellett régi tömései és a diasztémája is zavarta.

Fogszabályozó helyett
Edit ősszel járt zuglói fogászatunkon. A fiatal tanárnőt zavarták a fogai közötti rések, ám nem akart belevágni egy hosszadalmas fogszabályozó kezelésbe. Dr. Bévárdi Rékával találtak egy gyors és látványos megoldást problémájára.

Direkt héj, porcelán héj
Patrícia elégedetlen volt a korábban más rendelőben készíttetett direkt héjaival, ezért Dr. Bévárdi Rékához fordult. A doktornő egy precízebben kialakított és esztétikusabb megoldást javasolt neki.

Elszürkült fogak
Páciensünk elégedetlen volt kiálló metszőfogaival: a rosszul záró tömései, illetve a gyökérkezelés miatt elszürkült fogaival fordult Bévárdi Réka doktornőhöz. A belső fogfehérítés és a töméscsere nem nyújtott volna tökéletes megoldást, ezért a porcelán héj mellett döntöttünk.

Mosolyszépítés az esküvőre
Boglárka nyáron járt rendelőnkben, az esküvői készülődés közepette szakított időt a mosolyszépítő kezelésekre. Dr. Bévárdi Réka az indirekt héjaknak köszönhetően néhány ülés alatt tökéletes fogakat varázsolt az izgatott menyasszonynak.
Implantációs fogpótlások

Csavarral rögzülő cirkónium koronák implantátumra
Dr. Ruska Nikoletta munkája

Csavarral rögzülő fémkerámia korona implantátumra
Dr. Ruska Nikoletta munkája
Kapcsolat
Kérjen visszahívást
Rendelőnk nyitva tartási idejében a lehető legrövidebb időn belül felvesszük Önnel a kapcsolatot!
Kérjen időpontot még ma!
+36 70 381 5871
+36 70 595 5524