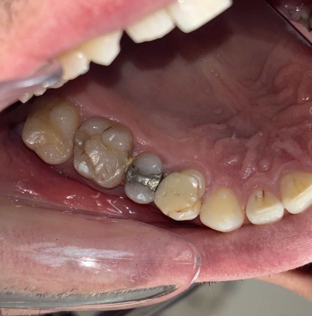
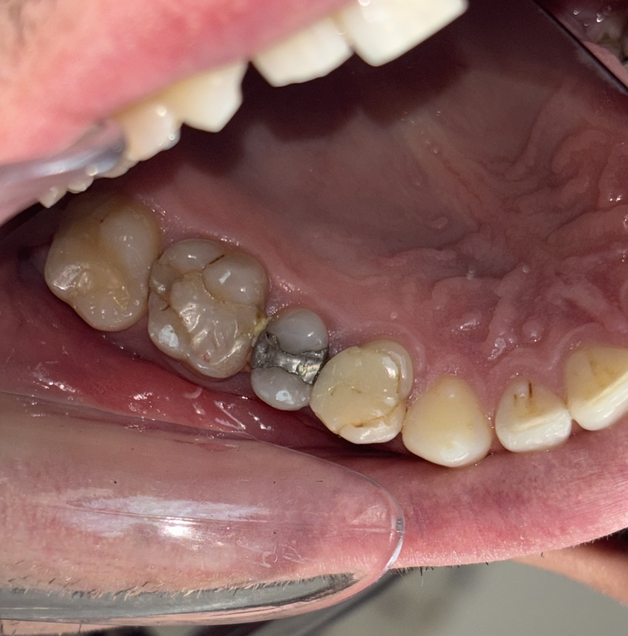
Dr. Ruska Nikoletta munkája
- 14 fog: préskerámia betét
- 15 fog: esztétikus tömés
- 16 fog: újragyökérkezelés, revízió és préskerámia betét
Tájékoztatjuk Önöket, hogy rendelőnk 04.03. és 04.06. között zárva tart.
04.07-én (kedden) 8:00-tól ismét várjuk hívásukat időpontfoglalás céljából, valamint pácienseinket a már lefoglalt időpontokban.
A legjobb élmény biztosítása érdekében olyan technológiákat használunk, mint a cookie-k. Ezen technológiákhoz való hozzájárulás lehetővé teszi számunkra, hogy olyan adatokat dolgozzunk fel ezen az oldalon, mint a böngészési viselkedés vagy az egyedi azonosítók. A hozzájárulás elmaradása vagy visszavonása hátrányosan befolyásolhat bizonyos funkciókat.